Motion viewer
Uso intuitivo y sin curva de aprendizaje
Se puede empezar a usar el programa de inmediato sin necesidad de dedicar tiempo valioso a una formación extensa, permitiendo integrarlo rópidamente en la práctica diaria.
La familiaridad con una interfaz y funciones similares a las ya conocidas reduce la posibilidad de cometer errores durante el diseño y planificación del tratamiento, garantizando una mayor precisión en los resultados
Con un software que se maneja de forma intuitiva desde el principio, se puede trabajar de manera mós eficiente, optimizando el tiempo del ortodoncista y su equipo en el diseño de alineadores.
La facilidad de uso y la similitud con otros programas ya dominados aumentan la comodidad y confianza en el software, lo que se traduce en una experiencia mós satisfactoria y productiva, tanto para el ortodoncista como para los pacientes.
Revisión integral
Al integrar el diseño de la ortodoncia con las imágenes y radiografías del paciente, se obtiene una visión completa y precisa de la situación dental. Esto permite una mejor evaluación y planificación del tratamiento, asegurando que cada movimiento dental esté basado en datos anatómicos precisos.
La capacidad de comparar el diseño con las imágenes reales del paciente facilita la identificación de posibles complicaciones o necesidades adicionales de ajuste. De esta forma, se puede ajustar el plan de tratamiento en tiempo real, mejorando su eficacia y eficiencia.
Mostrar al paciente el diseño de la ortodoncia junto con sus propias imágenes puede ayudar a explicar de manera más clara y comprensible el plan de tratamiento. Esto puede aumentar la confianza del paciente y su comprensión del proceso, lo cual es fundamental para la cooperación y el éxito del tratamiento.
Al tener todas las imágenes y el diseño en una misma plataforma, es más sencillo realizar un seguimiento del progreso del tratamiento. Se puede comparar fácilmente el estado actual con el plan inicial y hacer ajustes si es necesario, asegurando que el tratamiento avance según lo previsto.
La integración de estas herramientas en un solo programa reduce la necesidad de consultas adicionales y el tiempo dedicado a la coordinación entre diferentes sistemas. Esto no solo mejora la eficiencia del trabajo del ortodoncista, sino que también permite un uso más eficaz del tiempo del paciente.
Cada paciente tiene una estructura dental única. Al utilizar un programa que permita la visualización conjunta del diseño y las imágenes del paciente, se puede personalizar el tratamiento de manera más detallada y específica, ajustando cada alineador a las necesidades individuales del paciente.
Al contar con una visualización integrada, se minimiza el riesgo de errores en el diseño y la aplicación del tratamiento. La comparación simultánea permite detectar y corregir cualquier discrepancia antes de que se convierta en un problema.
Análisis de puntos oclusales
Permite un ajuste exacto de cómo encajan los dientes, mejorando la funcionalidad de la mordida.
Facilita ajustes rápidos y precisos en el diseño, reduciendo la necesidad de correcciones posteriores.
Facilita una planificación más detallada y personalizada al identificar y corregir problemas de oclusión antes de iniciar el tratamiento.
Contribuye a una oclusión más funcional y cómoda, elevando la calidad del resultado final.
Ayuda a explicar cómo el tratamiento afectará la mordida, mejorando la comprensión y cooperación del paciente.
Permite monitorear cómo evoluciona la oclusión a lo largo del tratamiento.
Permite identificar y corregir desajustes oclusales antes de la fabricación de los dispositivos.
Evaluación de movimientos planificados
Permite comparar directamente la posición inicial y final, facilitando la evaluación del avance del tratamiento.
La familiaridad con una interfaz y funciones similares a las ya conocidas reduce la posibilidad de cometer errores durante el diseño y planificación del tratamiento, garantizando una mayor precisión en los resultados.
Permite ajustar y refinar la estrategia de tratamiento para lograr resultados más precisos.
Minimiza errores en el diseño y ejecución al proporcionar una visión clara del progreso esperado.
Facilita la detección temprana de discrepancias y problemas potenciales, permitiendo ajustes a tiempo.
Ayuda a explicar claramente el tratamiento y gestionar las expectativas del paciente con representaciones visuales efectivas.
Facilita el monitoreo del progreso y ajustes del tratamiento conforme a la posición final planificada.
Parámetros críticos: Bolton
Permite identificar discrepancias en el tamaño de los dientes entre el maxilar y la mandíbula, facilitando un equilibrio adecuado en la oclusión.
Ayuda a diseñar planes de tratamiento personalizados, asegurando que los dientes se alineen correctamente al final del tratamiento.
Facilita la planificación del manejo del espacio, evitando problemas como el apiñamiento o los espacios excesivos entre los dientes.
Contribuye a lograr una oclusión funcional y estética adecuada, mejorando la masticación y la apariencia del paciente.
Parámetros críticos: Arch
Proporciona una visión detallada de la forma del arco dental, permitiendo ajustes precisos durante el tratamiento.
Ayuda a planificar el alineamiento de los dientes dentro del arco, asegurando una distribución uniforme y estética.
Facilita la anticipación de los movimientos dentales necesarios para alcanzar la forma deseada del arco, mejorando la eficacia del tratamiento.
Permite ajustar el tratamiento a las características individuales del arco del paciente, optimizando los resultados y la satisfacción del paciente.
Ventaja exclusiva: Botón Overjet/Overbite
Permite una evaluación detallada y precisa del overjet (proyección horizontal de los dientes anteriores superiores sobre los inferiores) y overbite (superposición vertical de los dientes anteriores superiores sobre los inferiores), facilitando un diagnóstico exacto.
Ayuda a planificar el tratamiento de manera más eficiente, asegurando que los alineadores estén diseñados para corregir estas discrepancias específicas.
Permite monitorizar el progreso del tratamiento en tiempo real, haciendo ajustes necesarios para garantizar que los objetivos de corrección del overjet y overbite se estén cumpliendo.
Facilita la obtención de resultados más predecibles y satisfactorios, mejorando tanto la función masticatoria como la estética dental.
Personalización de Ataches
Una de las principales diferencias con respecto a las marcas líderes es nuestra capacidad para seleccionar el tamaño de los ataches con precisión. Nuestro software permite elegir tamaños desde 2 hasta 5 mm, incluyendo opciones de 2 y 2,5 mm que no están disponibles en otros sistemas. Esto es especialmente ventajoso cuando se trabaja con incisivos laterales pequeños u otros dientes donde un aditamento de 3 mm no sería adecuado o cuando se necesita un tamaño menor.
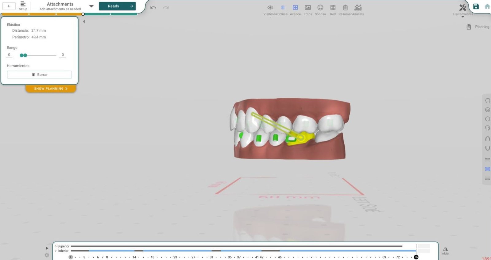
Visualización de Elásticos
Permite planificar y simular el uso de estos dispositivos auxiliares durante el tratamiento. Sirve para:
- Diseño del tratamiento: Ayuda a prever cómo los elásticos influirán en los movimientos dentales y en la biomecánica general del caso.
- Validación de la planificación: Permite comprobar si la aplicación de elásticos es efectiva para alcanzar los objetivos del tratamiento.
- Comunicación con el paciente: Visualizar los elásticos en la simulación ayuda a explicar al paciente la importancia de su uso y su impacto en los resultados finales.
- Optimización de recursos: Facilita al ortodoncista decidir los puntos de anclaje y el tipo de elásticos más adecuados sin necesidad de ensayos repetitivos.
CBCT
La incorporación de CBCT puede ser fundamental en la planificación preprotésica, en situaciones previas al implante y en todos los casos con periodonto comprometido. Además, en casos de movimientos complejos, permite controlar con precisión el movimiento de los dientes para evitar dehiscencias o fenestraciones óseas.
Análisis Cefalométrico
Proporciona una evaluación precisa de la relación y posición de los dientes, huesos y tejidos blandos.
Ayuda a identificar anomalías esqueléticas y dentales, facilitando un diagnóstico detallado.
Permite prever cambios faciales y estructurales a lo largo del tratamiento.
Optimiza la planificación y seguimiento del tratamiento, mejorando los resultados finales.
Límites de Movimiento
Están diseñados para garantizar que las fuerzas aplicadas sean seguras y efectivas para los dientes y los tejidos circundantes.
Sirven para:
- Seguridad del paciente: Evitar movimientos excesivos o rápidos que puedan causar daño a las raíces dentales, el hueso o los tejidos periodontales.
- Realismo clínico: Simular movimientos dentro de rangos aceptables según la biología del paciente y la experiencia clínica.
- Optimización del tratamiento: Permitir ajustes que maximicen la eficiencia del tratamiento sin comprometer su éxito.
- Prevención de errores: Ayudar a identificar configuraciones que podrían ser biomecánicamente inviables o contraproducentes.
Permite al ortodoncista anticipar la complejidad de los movimientos dentales necesarios y planificar adecuadamente el tratamiento así como la posible necesidad de utilizar elementos auxiliares.
Ayuda a identificar movimientos que podrían ser difíciles o riesgosos, reduciendo la posibilidad de causar daño a los dientes o estructuras óseas.
Facilita la comunicación con el paciente sobre el tiempo, esfuerzo y posibles desafíos del tratamiento, estableciendo expectativas realistas.
Movimiento Total Dentario
Gráfico de movimiento dental que proporciona una visualización detallada de cómo se moverá cada diente a lo largo del proceso de tratamiento.
Cada diente en el gráfico es clicable; al seleccionar un diente se puede ver información detallada sobre su movimiento. El mismo cambia a color verde una vez seleccionado, y para retirar el color, podemos hacer clic directamente sobre el attachment.
Previsión de Fuerzas
La Previsión de Fuerzas permite visualizar y analizar las fuerzas aplicadas durante el tratamiento.
Su utilidad incluye:
- Análisis de fuerzas: Muestra la dirección, magnitud y distribución de las fuerzas ejercidas sobre cada diente.
- Prevención de problemas: Ayuda a identificar fuerzas excesivas o inadecuadas que podrían comprometer la salud periodontal o provocar movimientos no deseados.
- Optimización del diseño: Permite ajustar la planificación para garantizar que las fuerzas sean biomecánicamente correctas y efectivas.
- Visualización educativa: Facilita la explicación al paciente de cómo se logran los movimientos planificados mediante los alineadores.
Landmarks
Los landmarks son puntos de referencia anatómicos clave utilizados para:
- Precisión en el análisis: Identificar ubicaciones específicas en dientes y estructuras óseas para garantizar una planificación detallada y exacta.
- Seguimiento de movimientos: Monitorear cambios en la posición de los dientes en relación con puntos fijos durante el tratamiento.
- Personalización del tratamiento: Adaptar los alineadores y auxiliares según las necesidades específicas de cada paciente.
- Consistencia en la comunicación: Proporcionar un lenguaje visual común entre ortodoncistas y técnicos para diseñar y evaluar los planes.
Validaciones
Son procesos automáticos o manuales que verifican la viabilidad y calidad del plan de tratamiento.
Su propósito es:
- Garantizar la eficacia: Confirmar que los movimientos planificados son biomecánicamente posibles y clínicamente efectivos.
- Seguridad del paciente: Detectar configuraciones que puedan generar fuerzas excesivas, movimientos riesgosos o resultados insalubres.
- Optimización del diseño: Asegurar que el diseño de los alineadores y los auxiliares cumpla con los objetivos del tratamiento sin errores.
- Ahorro de tiempo: Reducir la necesidad de ajustes posteriores detectando problemas antes de la fabricación de los alineadores.
- Documentación confiable: Generar reportes que respalden el plan de tratamiento para su revisión o comunicación con otros profesionales.
Reporte del tratamiento
Esta opción, nos abre el documento detallado que proporciona una visión integral del progreso y la planificación del tratamiento de un paciente. Este reporte es crucial tanto para los profesionales de la salud dental como para los pacientes, ya que ofrece una guía estructurada del proceso y ayuda a garantizar que el tratamiento se desarrolle de manera eficiente y efectiva. Este documento puede descargarse e imprimirse.
Sistema de Numeración Dentaria
Se utiliza para identificar de manera precisa y estandarizada cada diente dentro de la interfaz del programa.
Su importancia radica en:
- Claridad en la planificación: Facilita la identificación rápida de cada diente para diseñar movimientos específicos.
- Estandarización: Utiliza sistemas reconocidos como el FDI (Federación Dental Internacional) o el de Palmer, dependiendo de las preferencias del profesional o región.
- Comunicación eficaz: Permite una mejor colaboración entre ortodoncistas, técnicos y otros especialistas al usar un lenguaje común.
- Monitoreo del tratamiento: Simplifica el seguimiento de los movimientos y ajustes necesarios durante las diferentes fases del tratamiento.
- Personalización: Asocia cada número con características específicas del diente (tamaño, forma, posición) para una simulación más precisa.
Espacio
Esta opción representa cuánto espacio hay entre los dientes. Si es negativo (más de 0.08mm) entonces hay colisión y se necesita IPR. Si es positivo, significa que hay espacio suficiente entre los dientes, por lo cual no se necesita IPR.
Mapa de Calor de las Encías
El mapa de calor de las encías es una herramienta visual que evalúa la interacción entre los alineadores y los tejidos blandos.
Su utilidad incluye:
- Detección de presión excesiva: Identifica áreas donde los alineadores podrían ejercer fuerzas excesivas sobre las encías, reduciendo el riesgo de irritación o lesiones.
- Optimización del diseño: Permite ajustar los bordes y la forma de los alineadores para garantizar un ajuste cómodo y seguro.
- Mejora de la experiencia del paciente: Ayuda a prevenir molestias relacionadas con la fricción o presión indebida.
- Prevención de complicaciones: Reduce el riesgo de inflamación gingival y otros problemas derivados de una mala interacción entre el alineador y los tejidos blandos.
- Visualización intuitiva: Proporciona una representación clara y comprensible de las áreas de riesgo para facilitar ajustes en el diseño.
Colisión de las Raíces
Es una herramienta de análisis que evalúa la proximidad entre las raíces dentales durante la planificación del tratamiento.
Su utilidad incluye:
- Prevención de daños: Detecta posibles colisiones entre raíces dentales que podrían comprometer la salud periodontal o causar reabsorción radicular.
- Planificación precisa: Ayuda a planificar movimientos dentales seguros y biomecánicamente viables, minimizando el riesgo de interferencias entre raíces.
- Optimización del espacio: Identifica la necesidad de realizar expansiones, extracciones o ajustes para evitar conflictos en movimientos planificados.
- Seguridad del tratamiento: Garantiza que los movimientos sean no solo efectivos, sino también seguros para las estructuras circundantes.
- Visualización clara: Proporciona alertas visuales o reportes específicos sobre áreas críticas, mejorando la toma de decisiones del ortodoncista.
Gizmos
Los Gizmos se refieren a herramientas interactivas utilizadas para realizar mediciones y ajustes precisos durante la planificación del tratamiento ortodóntico.
Su funcionalidad en términos de medidas incluye:
- Medición precisa: Permiten calcular distancias, ángulos y desplazamientos entre dientes o estructuras específicas con alta exactitud.
- Ajustes interactivos: Facilitan el control directo del posicionamiento de dientes y componentes en la simulación mediante arrastre o rotación.
- Planificación personalizada: Ayudan a establecer movimientos específicos en milímetros o grados, ajustados a las necesidades del paciente.
- Validación de límites: Aseguran que las medidas planificadas se encuentren dentro de rangos seguros y biológicamente viables.
- Visualización intuitiva: Ofrecen una interfaz gráfica que simplifica la interpretación de las medidas y ajustes.